2025 © Copyright – TOPVISION EYE SPECIALIST BERHAD 201801011816 (1273832-U)
TOPVISION EYE SPECIALIST CENTRE SDN BHD 201001004800 (889415-M)
(KKLIU 1368/2024 – Expiry Date 31 December 2026)
Web Design & SEO by Nuweb
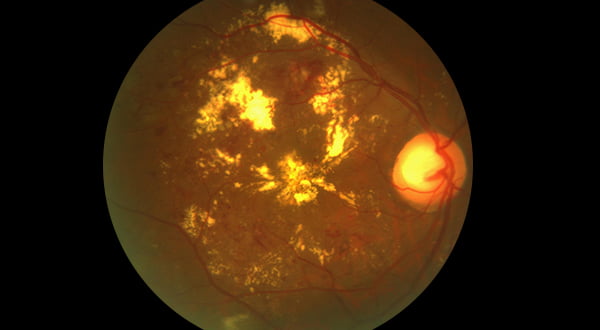
Diabetic retinopathy is the damage to the retina that occurs with long-term diabetes. Therefore, for diabetic patients, they must have their eyes checked by an eye specialist at least once a year.
High blood glucose levels in diabetic patient will cause the blood vessels in the retina to leak, thus, leading to distorted vision.

Symptoms that could indicate the disease has progressed to a more advanced stage which includes:

The type of treatment depends on the severity of retinopathy. Controlled diabetes, blood pressure and cholesterol levels are extremely important as part of the management.
Be it eye exams, treatment or surgeries, our team of Ophthalmologists are ready to help you. Contact us today!





























2025 © Copyright – TOPVISION EYE SPECIALIST BERHAD 201801011816 (1273832-U)
TOPVISION EYE SPECIALIST CENTRE SDN BHD 201001004800 (889415-M)
(KKLIU 1368/2024 – Expiry Date 31 December 2026)
Web Design & SEO by Nuweb